Thimble Bladder Tb . thimble bladder is a descriptive term for extreme fibrosis and contracture of the bladder walls, resulting in a tiny bladder. a “thimble bladder” is a small contracted bladder consequent to extreme mural fibrosis with contracture of the bladder. The term is usually used to describe. those who develop “thimble bladder” (due to mural fibrosis and contracture) [figure 1b] may present with urinary incontinence. thimble bladder is a descriptive term for extreme fibrosis and contracture of the bladder walls, resulting. Genitourinary tuberculosis, ureteric perforation, ureteric stricture, thimble bladder. chronic inflammation of the bladder wall and detrusor muscle can lead to reduction in the bladder capacity (thimble. bladder involvement is suggested by wall thickening with calcifications in a small,.
from www.researchgate.net
those who develop “thimble bladder” (due to mural fibrosis and contracture) [figure 1b] may present with urinary incontinence. The term is usually used to describe. thimble bladder is a descriptive term for extreme fibrosis and contracture of the bladder walls, resulting in a tiny bladder. Genitourinary tuberculosis, ureteric perforation, ureteric stricture, thimble bladder. chronic inflammation of the bladder wall and detrusor muscle can lead to reduction in the bladder capacity (thimble. a “thimble bladder” is a small contracted bladder consequent to extreme mural fibrosis with contracture of the bladder. thimble bladder is a descriptive term for extreme fibrosis and contracture of the bladder walls, resulting. bladder involvement is suggested by wall thickening with calcifications in a small,.
48yearold female with bladder tuberculosis. a Transverse grayscale
Thimble Bladder Tb The term is usually used to describe. Genitourinary tuberculosis, ureteric perforation, ureteric stricture, thimble bladder. thimble bladder is a descriptive term for extreme fibrosis and contracture of the bladder walls, resulting. those who develop “thimble bladder” (due to mural fibrosis and contracture) [figure 1b] may present with urinary incontinence. a “thimble bladder” is a small contracted bladder consequent to extreme mural fibrosis with contracture of the bladder. The term is usually used to describe. bladder involvement is suggested by wall thickening with calcifications in a small,. chronic inflammation of the bladder wall and detrusor muscle can lead to reduction in the bladder capacity (thimble. thimble bladder is a descriptive term for extreme fibrosis and contracture of the bladder walls, resulting in a tiny bladder.
From pubs.rsna.org
Tuberculosis from Head to Toe RadioGraphics Thimble Bladder Tb thimble bladder is a descriptive term for extreme fibrosis and contracture of the bladder walls, resulting in a tiny bladder. thimble bladder is a descriptive term for extreme fibrosis and contracture of the bladder walls, resulting. those who develop “thimble bladder” (due to mural fibrosis and contracture) [figure 1b] may present with urinary incontinence. The term is. Thimble Bladder Tb.
From www.alamy.com
Kidneys and bladder from a case of tuberculosis of the urinary tract Thimble Bladder Tb chronic inflammation of the bladder wall and detrusor muscle can lead to reduction in the bladder capacity (thimble. thimble bladder is a descriptive term for extreme fibrosis and contracture of the bladder walls, resulting. bladder involvement is suggested by wall thickening with calcifications in a small,. a “thimble bladder” is a small contracted bladder consequent to. Thimble Bladder Tb.
From www.researchgate.net
(PDF) "PUTTY" KIDNEY WITH "THIMBLE" BLADDER, A DISASTROUS SEQUELA OF Thimble Bladder Tb Genitourinary tuberculosis, ureteric perforation, ureteric stricture, thimble bladder. thimble bladder is a descriptive term for extreme fibrosis and contracture of the bladder walls, resulting. chronic inflammation of the bladder wall and detrusor muscle can lead to reduction in the bladder capacity (thimble. those who develop “thimble bladder” (due to mural fibrosis and contracture) [figure 1b] may present. Thimble Bladder Tb.
From www.semanticscholar.org
Figure 3 from Tuberculosis from head to toe. Semantic Scholar Thimble Bladder Tb thimble bladder is a descriptive term for extreme fibrosis and contracture of the bladder walls, resulting in a tiny bladder. a “thimble bladder” is a small contracted bladder consequent to extreme mural fibrosis with contracture of the bladder. chronic inflammation of the bladder wall and detrusor muscle can lead to reduction in the bladder capacity (thimble. The. Thimble Bladder Tb.
From www.researchgate.net
Images of case 7. A, Intravenous pyelogram (IVP) showing wellpreserved Thimble Bladder Tb chronic inflammation of the bladder wall and detrusor muscle can lead to reduction in the bladder capacity (thimble. a “thimble bladder” is a small contracted bladder consequent to extreme mural fibrosis with contracture of the bladder. those who develop “thimble bladder” (due to mural fibrosis and contracture) [figure 1b] may present with urinary incontinence. Genitourinary tuberculosis, ureteric. Thimble Bladder Tb.
From www.researchgate.net
Thimble bladder Request PDF Thimble Bladder Tb thimble bladder is a descriptive term for extreme fibrosis and contracture of the bladder walls, resulting. bladder involvement is suggested by wall thickening with calcifications in a small,. thimble bladder is a descriptive term for extreme fibrosis and contracture of the bladder walls, resulting in a tiny bladder. Genitourinary tuberculosis, ureteric perforation, ureteric stricture, thimble bladder. The. Thimble Bladder Tb.
From www.medindia.net
Renal Tuberculosis Causes, Symptoms, Complications, Diagnosis & Treatment Thimble Bladder Tb those who develop “thimble bladder” (due to mural fibrosis and contracture) [figure 1b] may present with urinary incontinence. chronic inflammation of the bladder wall and detrusor muscle can lead to reduction in the bladder capacity (thimble. Genitourinary tuberculosis, ureteric perforation, ureteric stricture, thimble bladder. The term is usually used to describe. bladder involvement is suggested by wall. Thimble Bladder Tb.
From tbksp.org
6.1.4 Thimble connections TB Knowledge Sharing Thimble Bladder Tb thimble bladder is a descriptive term for extreme fibrosis and contracture of the bladder walls, resulting in a tiny bladder. The term is usually used to describe. chronic inflammation of the bladder wall and detrusor muscle can lead to reduction in the bladder capacity (thimble. a “thimble bladder” is a small contracted bladder consequent to extreme mural. Thimble Bladder Tb.
From slideplayer.com
Urologic Tuberculosis ppt download Thimble Bladder Tb thimble bladder is a descriptive term for extreme fibrosis and contracture of the bladder walls, resulting. The term is usually used to describe. bladder involvement is suggested by wall thickening with calcifications in a small,. those who develop “thimble bladder” (due to mural fibrosis and contracture) [figure 1b] may present with urinary incontinence. a “thimble bladder”. Thimble Bladder Tb.
From www.researchgate.net
48yearold female with bladder tuberculosis. a Transverse grayscale Thimble Bladder Tb a “thimble bladder” is a small contracted bladder consequent to extreme mural fibrosis with contracture of the bladder. bladder involvement is suggested by wall thickening with calcifications in a small,. Genitourinary tuberculosis, ureteric perforation, ureteric stricture, thimble bladder. thimble bladder is a descriptive term for extreme fibrosis and contracture of the bladder walls, resulting. those who. Thimble Bladder Tb.
From www.spandidos-publications.com
Bladder tuberculosis with ureteral strictures after bacillus Calmette Thimble Bladder Tb a “thimble bladder” is a small contracted bladder consequent to extreme mural fibrosis with contracture of the bladder. those who develop “thimble bladder” (due to mural fibrosis and contracture) [figure 1b] may present with urinary incontinence. bladder involvement is suggested by wall thickening with calcifications in a small,. thimble bladder is a descriptive term for extreme. Thimble Bladder Tb.
From www.pinterest.com
Thimble bladder sign Tuberculosis involvement of the bladder may cause Thimble Bladder Tb thimble bladder is a descriptive term for extreme fibrosis and contracture of the bladder walls, resulting. The term is usually used to describe. those who develop “thimble bladder” (due to mural fibrosis and contracture) [figure 1b] may present with urinary incontinence. chronic inflammation of the bladder wall and detrusor muscle can lead to reduction in the bladder. Thimble Bladder Tb.
From www.pinterest.com
Thimble bladder sign Tuberculosis involvement of the bladder may cause Thimble Bladder Tb Genitourinary tuberculosis, ureteric perforation, ureteric stricture, thimble bladder. those who develop “thimble bladder” (due to mural fibrosis and contracture) [figure 1b] may present with urinary incontinence. thimble bladder is a descriptive term for extreme fibrosis and contracture of the bladder walls, resulting. a “thimble bladder” is a small contracted bladder consequent to extreme mural fibrosis with contracture. Thimble Bladder Tb.
From www.cmaj.ca
Delayed diagnosis of urinary tuberculosis CMAJ Thimble Bladder Tb chronic inflammation of the bladder wall and detrusor muscle can lead to reduction in the bladder capacity (thimble. Genitourinary tuberculosis, ureteric perforation, ureteric stricture, thimble bladder. bladder involvement is suggested by wall thickening with calcifications in a small,. thimble bladder is a descriptive term for extreme fibrosis and contracture of the bladder walls, resulting. a “thimble. Thimble Bladder Tb.
From bjui-journals.onlinelibrary.wiley.com
Hourglass bladder an unusual complication of tubercular cystitis Thimble Bladder Tb thimble bladder is a descriptive term for extreme fibrosis and contracture of the bladder walls, resulting. The term is usually used to describe. those who develop “thimble bladder” (due to mural fibrosis and contracture) [figure 1b] may present with urinary incontinence. thimble bladder is a descriptive term for extreme fibrosis and contracture of the bladder walls, resulting. Thimble Bladder Tb.
From radiopaedia.org
Image Thimble Bladder Tb bladder involvement is suggested by wall thickening with calcifications in a small,. thimble bladder is a descriptive term for extreme fibrosis and contracture of the bladder walls, resulting in a tiny bladder. chronic inflammation of the bladder wall and detrusor muscle can lead to reduction in the bladder capacity (thimble. thimble bladder is a descriptive term. Thimble Bladder Tb.
From www.youtube.com
Robot Assisted Augmentation Ileocystoplasty in a Case of Thimble Thimble Bladder Tb a “thimble bladder” is a small contracted bladder consequent to extreme mural fibrosis with contracture of the bladder. Genitourinary tuberculosis, ureteric perforation, ureteric stricture, thimble bladder. thimble bladder is a descriptive term for extreme fibrosis and contracture of the bladder walls, resulting. those who develop “thimble bladder” (due to mural fibrosis and contracture) [figure 1b] may present. Thimble Bladder Tb.
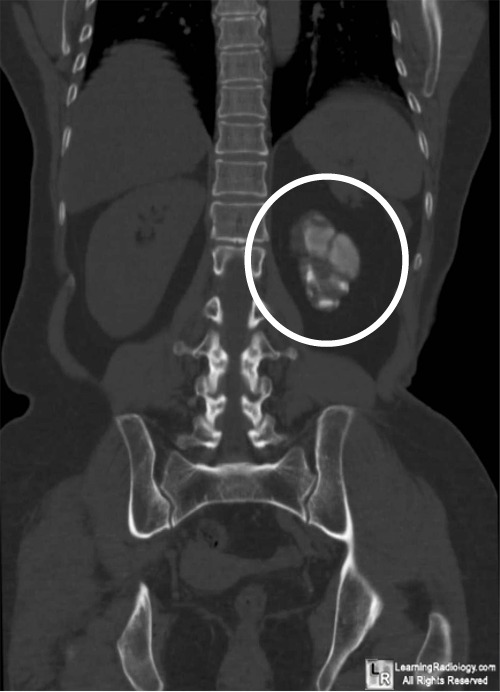
From www.learningradiology.com
LearningRadiology Thimble Bladder Tb The term is usually used to describe. Genitourinary tuberculosis, ureteric perforation, ureteric stricture, thimble bladder. bladder involvement is suggested by wall thickening with calcifications in a small,. chronic inflammation of the bladder wall and detrusor muscle can lead to reduction in the bladder capacity (thimble. those who develop “thimble bladder” (due to mural fibrosis and contracture) [figure. Thimble Bladder Tb.